Diş İpi Kullanımı ve Faydaları Nelerdir?
Diş ipi, diş sağlığını korumada kritik bir öneme sahiptir. Dişler arasındaki yiyecek artıkları ve plakların temizlenmesine yardımcı olarak, diş çürükleri ve diş eti hastalıklarının önlenmesine katkı sağlar. Doğru kullanım teknikleri ve diş ipi seçimi, ağız hijyenini artırmak için önemlidir.
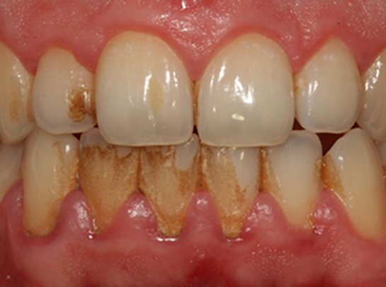
Diş ipi, dişlerin arasında ve diş etleriyle dişlerin birleşim noktalarında biriken yiyecek artıkları ve plakların temizlenmesine yardımcı olan önemli bir ağız hijyeni aracıdır. Diş ipinin düzenli kullanımı, ağız sağlığını korumanın yanı sıra çeşitli sağlık yararları da sunmaktadır. Bu makalede, diş ipinin kullanımı, faydaları ve doğru kullanımı hakkında detaylı bilgiler sunulacaktır. Diş İpi Nedir?Diş ipi, genellikle naylon veya PTFE (politetrafloroetilen) malzemeden üretilmiş ince bir iptir. Diş ipi, dişler arasında ulaşılması zor alanlarda temizlik yapma imkanı sunarak, diş fırçasının erişemediği bölgelerdeki yiyecek kalıntılarını ve plağı temizler. Diş İpi Kullanımının Faydaları Diş ipi kullanımının birçok faydası bulunmaktadır. Bu faydalar şunlardır:
Diş İpi Kullanımının Doğru Yöntemleri Diş ipi kullanırken dikkat edilmesi gereken bazı önemli noktalar bulunmaktadır:
Diş İpi Seçerken Dikkat Edilmesi Gerekenler Diş ipi seçimi, bireylerin ihtiyaçlarına göre değişiklik gösterebilir. Aşağıdaki faktörler, diş ipi seçerken göz önünde bulundurulmalıdır:
Sonuç Diş ipi, ağız sağlığının korunması ve geliştirilmesi için önemli bir araçtır. Düzenli kullanım, diş çürükleri ve diş eti hastalıklarının önlenmesine yardımcı olduğu gibi, genel sağlık üzerinde de olumlu etkiler yaratabilir. Diş ipi kullanımı, doğru yöntemlerle gerçekleştirildiğinde, hem etkili hem de pratik bir ağız hijyenidir. Ağız sağlığınızı korumak ve geliştirmek için diş ipi kullanımını ihmal etmemeniz önerilir. |

















.webp)




















Diş ipi kullanmanın önemini anlatan bu yazıdan yola çıkarak, diş ipinin yalnızca diş fırçalamakla sınırlı kalmaması gerektiğini düşünüyorum. Diş ipi, dişlerimizin arasındaki alanları temizlemek için gerçekten etkili bir araç ve bu durum, ağız sağlığımız için kritik. Yazıda diş ipinin nasıl kullanılacağına dair pratik bilgiler verilmiş, bu da kullanıcıların doğru bir şekilde uygulama yapmalarına yardımcı olabilir. Diş ipi kullanmanın avantajları arasında, diş eti hastalıklarıyla mücadele etmek ve nefesin tazelenmesi gibi faydalar yer alıyor. İlk kullanımda bile etkisini görmek mümkünmüş, bu gerçekten heyecan verici. Ancak, diş ipini kullanırken dikkat edilmesi gereken noktalar var; diş etine zarar vermemek için nazik olunması gerektiği vurgulanmış. Sonuç olarak, diş ipinin düzenli kullanımı, hem diş sağlığımızı korumak hem de genel sağlık durumumuzu iyileştirmek açısından çok önemli. Bu bilgileri göz önünde bulundurarak, günlük diş bakım rutinimize diş ipini dahil etmenin faydalı olacağını düşünüyorum. Bu konuda daha fazla bilgi edinmek, belki de benim gibi birçok kişinin diş ipini düzenli kullanmaya başlamasına yardımcı olabilir.
Tanay Bey,
Yorumunuzda diş ipinin önemine dair çok değerli noktalara değinmişsiniz. Diş ipinin sadece diş fırçalamayla sınırlı kalmaması gerektiği düşüncesi gerçekten de çok doğru. Diş ipi, dişlerin arasındaki ulaşılması zor bölgelere ulaşarak, plak ve kalıntıları temizlemek için hayati bir rol oynar. Bu sayede diş eti hastalıklarının önlenmesine yardımcı olur ve ağız sağlığını korur.
Ayrıca, diş ipinin kullanımının ilk seferde bile fark yaratması, bu alışkanlığın ne kadar etkili olduğunu gösteriyor. Ancak, dediğiniz gibi nazik olmak ve diş etlerine zarar vermemek de son derece önemli. Doğru tekniklerle kullanıldığında, diş ipi hem diş sağlığını iyileştirir hem de nefes tazeliği sağlar.
Günlük diş bakım rutinimize diş ipini dahil etmek, sadece diş sağlığını korumakla kalmayıp genel sağlığımızı da olumlu etkileyebilir. Bu konuda bilgi edinmek ve farkındalığı artırmak, birçok insanın diş ipini düzenli kullanmaya başlamasına vesile olabilir. Bu yazınızla bu önemli konuyu gündeme getirdiğiniz için teşekkür ederim.